All
Search
Images
Videos
Maps
News
More
Shopping
Flights
Travel
Notebook
Report an inappropriate content
Please select one of the options below.
Not Relevant
Offensive
Adult
Child Sexual Abuse
Length
All
Short (less than 5 minutes)
Medium (5-20 minutes)
Long (more than 20 minutes)
Date
All
Past 24 hours
Past week
Past month
Past year
Resolution
All
Lower than 360p
360p or higher
480p or higher
720p or higher
1080p or higher
Source
All
Dailymotion
Vimeo
Metacafe
Hulu
VEVO
Myspace
MTV
CBS
Fox
CNN
MSN
Price
All
Free
Paid
Clear filters
SafeSearch:
Moderate
Strict
Moderate (default)
Off
Filter
0:21
YouTube
Cardioman🩺
MULTIPLE VEGETATION SEEN ON AML & PML. #echocardiography #heartdisease
large abnormal growths (vegetations) on the Anterior Mitral Leaflet (AML) and Posterior Mitral Leaflet (PML), which are parts of the heart's mitral valve
1.1K views
3 months ago
Vegetation Types
10:27
Natural Vegetation and Wildlife | 10 Minutes Rapid Revision | Class 9 Geography
YouTube
Digraj Singh Rajput
640.2K views
Feb 17, 2024
27:38
Types of Forests in India - Evergreen, Deciduous, Thorny, Montane, Littoral Swamp
YouTube
Amit Sengupta
1.5M views
Apr 5, 2019
11:24
Natural Vegetation and Wildlife | Forest | Geography | Class 7
YouTube
Aasoka
61.2K views
Oct 23, 2021
Top videos
0:32
What Are Vegetations in Endocarditis?
YouTube
Johnson's Cardiology
1.3K views
9 months ago
0:11
Infective Endocarditis: Mitral Valve Vegetations #mitralvalve #Infectiveendocarditis
YouTube
MedSurvival Mnemonics by
2.2K views
10 months ago
0:47
Infective Endocarditis Echo || Vegetations on Heart Valve || Severe TR
YouTube
Let it Echo
1K views
8 months ago
Vegetation Zones
7:35
Class 9 | Natural Vegetation & Wild life | CBSE Board | Geography | Home Revise
YouTube
Home Revise
16K views
Oct 7, 2023
Natural Vegetation | Wild | Types of Vegetation @AAtoonsStudy
YouTube
AAtoons Study
6.7K views
Oct 31, 2021
3:31
Natural Vegetation | Class 8 - Geography | Learn With BYJU'S
YouTube
BYJU'S
176.3K views
Sep 8, 2020
0:32
What Are Vegetations in Endocarditis?
1.3K views
9 months ago
YouTube
Johnson's Cardiology
0:11
Infective Endocarditis: Mitral Valve Vegetations #mitralvalve #Infectiv
…
2.2K views
10 months ago
YouTube
MedSurvival Mnemonics by Raza
0:47
Infective Endocarditis Echo || Vegetations on Heart Valve || Seve
…
1K views
8 months ago
YouTube
Let it Echo
0:11
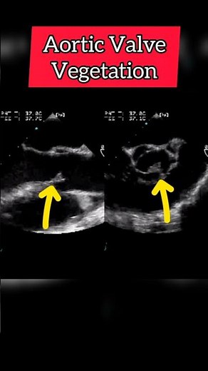
Aortic Valve vegetation on Echocardiogram- Echocardiograp
…
13.2K views
Oct 5, 2024
YouTube
Dr. M Usman Javed
0:12
vegetation in heart
850 views
Sep 27, 2024
YouTube
D Seetaram
0:22
Prosthetic Mitral Valve Endocarditis – Vegetations #ProstheticValveEn
…
424 views
5 months ago
YouTube
EchoDx Hub
0:22
Multiple vegetation seen on tricuspid valve & RV cavity 🫥 #echo
…
951 views
3 months ago
YouTube
Cardioman🩺
0:12
Kenyan Golf Landscapes Travels Safaris Mombasa Kilifi County Co
…
70 views
2 weeks ago
YouTube
Antony Trivet Photography
0:11
Infective endocarditis.vegetation on right side of heart on echocardiog
…
365 views
Dec 31, 2024
YouTube
Medicine Matters
Clinical Problem-Solving: From Where It Stems
7.4K views
7 months ago
YouTube
NEJM Group
0:18
Which image do you associate with Libman-Sacks endocarditis? #ech
…
1.7K views
9 months ago
YouTube
123sonography
0:48
#new dehumidifier 🪴🌱🔌 #plants #shortvideo #shorts #short #vide
…
17.6K views
1 month ago
YouTube
GrowinGermany
0:28
Organic Gardening(lush greenery)
2.2K views
3 months ago
YouTube
Daily life POV
0:59
Vegetations in heart valve infections
5.2K views
Feb 5, 2023
YouTube
Johnson's Cardiology
0:59
Modeling Realistic Bushes - Quick instructions for field scenery for d
…
1.6K views
10 months ago
YouTube
MiniZooLife eu
1:00
Echocardiography of vegetation at Aortic valve ( NCC) and Severe AR.
150 views
Jan 14, 2024
YouTube
Cardiology Intervention
1:23
Site Vegetations #revit #bim
662 views
10 months ago
YouTube
revit.lessons
0:12
Mitral valve vegetation// Vegetation on Anterior Mitral leaflet
1.1K views
Aug 5, 2024
YouTube
Cardio Technician
0:04
Hibiscus Flowers Petals Green Leaves Plants Vegetations Farm G
…
1 views
4 weeks ago
YouTube
Antony Trivet Photography
See more videos
More like this
Feedback